Estética Dental
La estética dental se especializa en mejorar la apariencia de los dientes y la sonrisa. Esta rama de la odontología se enfoca en tratamientos que no solo mejoran la salud bucal sino también la estética dental, proporcionando a los pacientes una sonrisa más atractiva y segura. Los procedimientos estéticos pueden abordar diversas imperfecciones, como manchas, espacios entre dientes, dientes desalineados o desgastados.

Estética impecable
Recupera tu confianza
Resultado natural
Mejora tu salud
Solución personalizada
Aplicaciones de la estética dental
En nuestra clínica, nos especializamos en tratamientos de estética dental utilizando tecnología avanzada y materiales de alta calidad para garantizar resultados óptimos. Nuestra prioridad es ofrecer soluciones que mejoren tanto la estética como la salud de tu sonrisa.
Blanqueamiento Dental: Tratamientos para eliminar manchas y aclarar el color de los dientes.
Carillas de Porcelana: Láminas delgadas de porcelana que se adhieren a la superficie frontal de los dientes para mejorar su apariencia.
Incrustaciones y Onlays: Restauraciones personalizadas que se utilizan para reparar dientes dañados o cariados.
Contorneado Dental: Remodelación de los dientes para corregir pequeñas imperfecciones en la forma o el tamaño.
Reconstrucción Completa de la Boca: Procedimientos combinados para transformar la sonrisa por completo.
Blanqueamiento Dental: Tratamientos para eliminar manchas y aclarar el color de los dientes.
Carillas de Porcelana: Láminas delgadas de porcelana que se adhieren a la superficie frontal de los dientes para mejorar su apariencia.
Incrustaciones y Onlays: Restauraciones personalizadas que se utilizan para reparar dientes dañados o cariados.
Contorneado Dental: Remodelación de los dientes para corregir pequeñas imperfecciones en la forma o el tamaño.
Reconstrucción Completa de la Boca: Procedimientos combinados para transformar la sonrisa por completo.
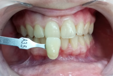
Galería
Resultados de nuestros tratamientos estéticos con blanqueamiento dental mediante la innovadora lámpara Philips Zoom y carillas de zirconio de aspecto natural, adaptadas al tono real de tu dentina para una sonrisa más luminosa y armónica.
Pide tu cita en nuestra clínica
Puedes llamarnos cuando quieras de Lunes a Viernes desde las 10:00 a 18:00 al número 956175677, por Whatsapp en el 622136569, a través del formulario web del apartado contacto o enviando un email a info@dentalhugoconza.com
