Endodoncia
La endodoncia, también conocida como tratamiento de conductos, es una especialidad dentro de la odontología general que se enfoca en el tratamiento de las enfermedades y lesiones de la pulpa dental.

Salvar piezas dentales
Eliminar el dolor
Prevenir infecciones
Restaurar la funcionalidad
Eliminar infecciones
Aplicaciones de la endodoncia
La implementación de tratamientos endodónticos ayudan a prevenir problemas mayores, que pueden ser costosos y dolorosos de tratar si no se detectan a tiempo. Además, una buena salud bucal contribuye a la salud general, ya que las enfermedades orales pueden tener un impacto en otras partes del cuerpo y viceversa.
Tratamiento de Conductos Radiculares: Eliminación de la pulpa inflamada o infectada y sellado del conducto.
Retratamiento Endodóntico: Intervención en dientes que han sido previamente tratados pero presentan problemas nuevamente.
Cirugía Endodóntica (Apicectomía): Procedimiento para eliminar infecciones persistentes y tejido inflamado en la punta de la raíz.
Tratamiento de Lesiones Traumáticas: Manejo de dientes dañados por traumatismos.
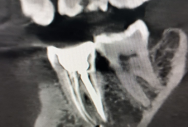
Galería
Algunos de nuestros tratamientos de endodoncia que permiten salvar piezas dentales, eliminar infecciones y devolver la salud y funcionalidad a tu sonrisa.
Pide tu cita en nuestra clínica
Puedes llamarnos cuando quieras de Lunes a Viernes desde las 10:00 a 18:00 al número 956175677, por Whatsapp en el 622136569, a través del formulario web del apartado contacto o enviando un email a info@dentalhugoconza.com
