Blog de Noticias
Bruxismo: Tratamiento en Clínica Dental Hugo Conza
El bruxismo, un trastorno común caracterizado por apretar o rechinar los dientes, puede tener efectos significativos en la salud bucal. Este hábito, que ocurre principalmente durante la noche... …
Conoce Nuestra Clínica: Clínica Dental Hugo Conza
Estamos a disposición de todos para ofrecerles un diagnóstico preciso y personalizado, tecnología de última generación, y tratamientos innovadores como la ortodoncia invisible y la carga inmediata con prótesis definitiva, técnica de vanguardia en implantología. …
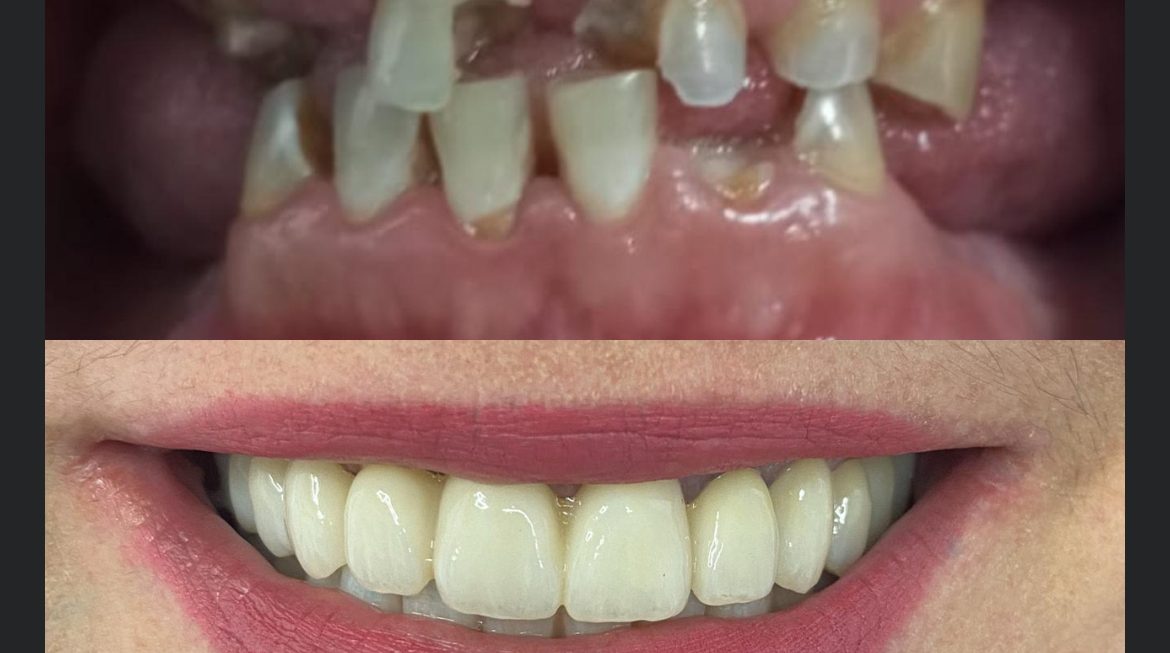
Implantes Dentales: ¿Son Realmente Para Siempre?
En la Clínica Dental Hugo Conza, somos especialistas en implantología avanzada y casos complejos, ofreciendo soluciones duraderas con implantes de zirconio y... …
Salud de las Encías: ¿Por qué Sangran y Cuándo Deberías Realizarte un Chequeo Dental?
En la Clínica Dental Hugo Conza, nos preocupamos por el bienestar de tus encías, un aspecto fundamental de tu salud bucal que a menudo pasa desapercibido hasta que surgen problemas. El sangrado de encías es uno de los primeros signos de alerta de una posible enfermedad periodontal. …
¿Qué Cepillo Elegir: Convencional o Eléctrico?
La higiene bucal es esencial para mantener una sonrisa saludable, y una de las decisiones más importantes que debemos tomar es elegir el cepillo adecuado. En este artículo, te explicamos las ventajas y desventajas tanto de los cepillos eléctricos como de los convencionales, y te ayudamos a elegir el tipo de cepillo... …
Implantología Avanzada en la Clínica Dental Hugo Conza: Especialistas en Casos Complejos
En la Clínica Dental Hugo Conza, contamos con la experiencia y el compromiso de nuestro cirujano principal, Hugo Conza, quien desde 1996 ha dedicado su carrera a la excelencia en implantología y cirugía oral. Con un postgrado en implantología y rehabilitación oral obtenido en 2001... …
Novedades en Estética Dental: Mejorando tu Sonrisa en Clínica Dental Hugo Conza
En la Clínica Dental Hugo Conza, nos especializamos en tratamientos de estética dental, utilizando tecnología avanzada y materiales de alta calidad para garantizar resultados óptimos... …
¿Cuántos Tonos de Blanco Puedo Ganar con un Blanqueamiento Dental ?
El blanqueamiento dental es uno de los tratamientos estéticos más populares en la odontología moderna,,, …
Recomendaciones Postoperatorias para Cirugía Oral en Clínica Dental Hugo Conza
Después de una cirugía oral, es normal seguir algunas pautas durante los primeros días. Para facilitar su rápida recuperación, le ofrecemos las siguientes recomendaciones... …
