Blog de Noticias
Muela del juicio: Cuándo debe extraerse y qué síntomas indican problemas
Las muelas del juicio, también llamadas terceros molares, suelen aparecer entre los 17 y 25 años. En muchos casos no causan molestias, pero cuando no tienen suficiente espacio para salir correctamente pueden provocar ... …
Causas de las caries: Por qué aparecen y cómo prevenirlas
Las caries dentales son una de las enfermedades bucales más comunes. Se producen cuando los ácidos generados por las bacterias deterioran el esmalte del diente, creando pequeños agujeros que pueden avanzar hacia capas más profundas. Detectarlas a tiempo es fundamental para evitar ... …
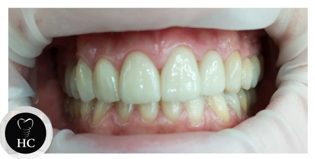
Recuperando sonrisas: los resultados reales en Clínica Dental Hugo Conza
En Clínica Dental Hugo Conza nos apasiona transformar vidas a través de una sonrisa saludable y estética. Cada día trabajamos para que nuestros pacientes recuperen confianza, funcionalidad y belleza dental. En este artículo te mostramos casos reales de antes y después, acompañados de explicaciones sobre... …
Cómo bajar un flemón dental rápidamente: síntomas, causas y tratamiento
Un flemón o absceso dental es una acumulación de pus causada por una infección. Puede aparecer junto a un diente o en la encía, y suele provocar hinchazón, dolor intenso y otros síntomas molestos. Actuar rápidamente es esencial para evitar complicaciones... …
Halitosis, ¿Cómo se trata el mal aliento?
La halitosis, comúnmente conocida como mal aliento, no solo puede afectar a tu autoestima, sino también ser un indicio de algún problema de salud bucodental o general. En la Clínica Dental Hugo Conza te ayudamos a detectar el origen y... …
Tu alimentación influye en la salud de tu sonrisa
Nuestra alimentación influye directamente en la salud de los dientes y encías. Una dieta equilibrada ayuda a fortalecer el esmalte dental, prevenir la caries y evitar enfermedades periodontales... …
La cirugía dental comienza mucho antes del quirófano
En Clínica Dental Hugo Conza, entendemos que una cirugía no empieza el día que entras al quirófano, sino mucho antes. Cada procedimiento que realizamos está respaldado por un riguroso proceso de planificación... …
Alergia a los Materiales Dentales: Precauciones en Cirugías
Algunos pacientes pueden presentar alergia a ciertos materiales utilizados en odontología. Identificar estas alergias antes de un tratamiento... …
Estética Dental: Los Tratamientos Más Solicitados
Con la llegada del buen tiempo, muchas personas buscan mejorar su sonrisa. Entre los tratamientos dentales más demandados en primavera y verano... …
