Implantes en 24/48h: Nuestra carga inmediata.
Implantes en 24/48h: Nuestra carga inmediata.
En Clínica Hugo Conza, entendemos la importancia de una sonrisa saludable y estéticamente agradable. Por eso, estamos orgullosos de ofrecer nuestra técnica de implantes de carga inmediata, que permite a los pacientes tener una sonrisa funcional y atractiva en tan solo 24 horas.
¿Qué es la Carga Inmediata?
La técnica de carga inmediata es una innovación en odontología que permite colocar una prótesis provisional fija sobre los implantes dentales en 24/48h aproximadamente desde el día de la cirugía (consulte el tiempo aproximado dependiendo de su caso ya que varía según sea una o varias piezas unitarias o una carga completa). Esto significa que los pacientes pueden salir de nuestra clínica con una dentadura completa y funcional mientras esperan sus implantes definitivos. Esta técnica no solo mejora la estética, sino que también ayuda a preservar la función masticatoria y la estructura ósea desde el primer momento.
Beneficios de los Implantes de Carga Inmediata
- Recuperación Rápida: Los pacientes experimentan una rápida mejora en su apariencia y función oral, lo que les permite volver a su vida cotidiana sin largos períodos de espera.
- Menos Procedimientos: Al reducir la cantidad de intervenciones quirúrgicas necesarias, disminuye también el tiempo total de tratamiento y las molestias asociadas.
- Estabilidad y Durabilidad: Las prótesis provisionales están diseñadas para ser funcionales y duraderas, brindando una solución temporal efectiva mientras se fabrican los implantes definitivos.
- Preservación Ósea: La carga inmediata ayuda a mantener la masa ósea, ya que el implante proporciona estímulos necesarios al hueso, similar a los dientes naturales.
El Proceso de Carga Inmediata
- Evaluación Inicial: Realizamos una evaluación completa mediante radiografías y escaneos 3D para planificar con precisión la colocación de los implantes.
- Colocación de Implantes: Los implantes dentales se insertan en el hueso maxilar o mandibular en una sola visita quirúrgica.
- Colocación de Prótesis Provisional: Inmediatamente después de la colocación de los implantes, se coloca una prótesis provisional fija.
- Seguimiento y Ajustes: Programamos revisiones periódicas para asegurar que todo el proceso se desarrolla correctamente hasta la colocación de la prótesis definitiva.
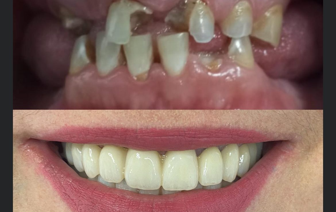
Caso Real: Rehabilitación Total con Prótesis de Carga Inmediata Superior e Inferior
Presentamos un caso de éxito en el que un paciente recibió una rehabilitación completa con prótesis de carga inmediata tanto en la arcada superior como en la inferior.
Antes del Tratamiento

El paciente presentaba pérdida dental severa y deterioro óseo, lo que afectaba su capacidad para masticar y su confianza al sonreír.
Después del Tratamiento

Tras la colocación de los implantes y las prótesis provisionales, el paciente recuperó la función completa y una sonrisa estética en solo 24 horas. Las radiografías muestran una integración adecuada de los implantes y una mejora significativa en la estructura ósea.
Si estás considerando mejorar tu sonrisa y funcionalidad oral de manera rápida y efectiva, no dudes en contactarnos. Estamos aquí para ayudarte a sonreír con confianza en tan solo 24 horas.
“En Clínica Hugo Conza, nos dedicamos a brindar soluciones dentales avanzadas que mejoren la calidad de vida de nuestros pacientes. La técnica de implantes de carga inmediata es solo un ejemplo de nuestro compromiso con la excelencia y la innovación en odontología.”
